86 755 2523 4088
service@agccert.com
Release Time:2022-01-04 紡織纖維是指直徑爲幾微米到幾十微米,而長度比直徑大很多倍,至少大1000倍以上,並且具有一定柔韌性和強力的纖細物質。
紡織纖維是指直徑爲幾微米到幾十微米,而長度比直徑大很多倍,至少大1000倍以上,並且具有一定柔韌性和強力的纖細物質。紡織纖維可以分爲天然纖維和化學纖維兩大類,具體分類見以下:
常見的天然纖維有棉、亞麻、苧麻、蠶絲、羊毛等;
常見的化學纖維有滌綸、錦綸、氨綸、腈綸、粘膠纖維等。
紡織產品纖維成分標識重要性
通過上面纖維分類我們清楚知道,紡織纖維品類衆多,不同的纖維,在成本上也存在差異,有的纖維之間相差甚至可以達到上百倍。因此,紡織產品原料不同,在售賣時也存在價格差異。纖維成分和含量的標註,能夠讓消費者最直觀的瞭解產品原料成分,充分維護消費者的權益,防止不良商家以次充好欺騙消費者。同時消費者根據纖維種類和含量能夠明確產品的性能、適用範圍、用途等。
紡織纖維鑑別
目前,大部分國家和地區都出臺了法規或標準規定銷售的紡織產品在其標籤上必須標示纖維成分和含量。對於紡織品檢測來說,纖維含量的檢測是紡織品檢測中重要的檢測項目,也是驗證產品纖維成分標籤標識是否正確的重要手段。纖維含量檢測中,首先需要鑑別是哪種纖維,然後才能進一步分析各纖維的具體含量。下面我們對紡織纖維的鑑別進行介紹
紡織纖維鑑別就是根據纖維的物理、化學特性,採用不同的分析方法來進行測試,通過對照標準照片、標準圖片和標準資料來鑑別未知纖維
紡織纖維鑑別方法標準
FZ/T 01057.1 通用說明
FZ/T 01057.2 燃燒法
FZ/T 01057.3 顯微鏡法
FZ/T 01057.4 溶解法
FZ/T 01057.5 含氯含氮呈色反應法
FZ/T 01057.6 熔點法
FZ/T 01057.7 密度梯度法
FZ/T 01057.8 紅外光譜法
FZ/T 01057.9 雙折射率法
AATCC TM 20
ISO/TR 11827
常用鑑別方法是燃燒法、顯微鏡法、溶解法
燃燒法:根據纖維靠近火焰、接觸火焰、離開火焰時的狀態及燃燒時產生的氣味和燃燒後殘留物特徵來辨別纖維種類,常見纖維的燃燒特徵如表1:
表1常見纖維的燃燒特徵
纖維名稱 | 燃燒狀態 | ||||
靠近火焰 | 接觸火焰 | 離開火焰 | 氣味 | 殘留物特徵 | |
棉 | 不縮不熔 | 迅速燃燒 | 繼續燃燒, | 燒紙味 | 呈細而軟的灰黑絮狀 |
麻 | 不縮不熔 | 迅速燃燒 | 黃色火焰 | 燒紙味 | 呈細而軟的灰白絮狀 |
蠶絲 | 收縮 | 捲曲、熔融、燃燒 | 繼續燃燒, | 燒毛髮味 | 鬆而脆的黑色顆粒 |
羊毛 | 收縮 | 捲曲、熔融、燃燒 | 黃色火焰 | 燒毛髮味 | 鬆而脆的黑色焦碳狀 |
粘膠纖維 | 不縮不熔 | 迅速燃燒 | 緩慢燃燒,有時自行熄滅 | 燒紙味 | 呈細而軟的灰黑絮狀 |
滌綸 | 熔縮 | 熔融,燃燒,先熔後燒,有溶液滴下 | 緩慢燃燒,有時自行熄滅 | 特殊芳香甜味 | 玻璃狀的黑褐色硬球 |
錦綸 | 熔縮 | 熔融,燃燒,先熔後燒,有溶液滴下 | 繼續燃燒, | 氨臭味 | 玻璃狀的黑褐色圓珠 |
氨綸 | 熔縮 | 熔融,燃燒 | 黃色火焰 | 特異氣味 | 白色膠狀 |
腈綸 | 熔縮 發焦 | 微熔,燃燒,明亮火花 | 能延燃,冒黑煙 | 辛辣味 | 黑色不規則小珠,易碎 |
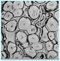
顯微鏡法:藉助顯微鏡觀察纖維縱向外形和截面形狀,或配合染色、溶解等方法,可以比較正確地區分天然纖維和化學纖維。
常見纖維形態特徵
棉:

縱向:扁平帶狀有天然轉曲 橫向:腰圓形有中腔
苧麻纖維

縱向:纖維較粗,有長形 橫向:腰圓形,有中腔
條紋及竹狀橫節
亞麻纖維

縱向:纖維較細,有竹狀橫節 橫向:多邊形,有中腔
羊毛纖維


縱向:表面粗糙,有鱗片 橫向:圓形或近似圓形
粘膠纖維

縱向:平滑,有溝槽 橫向:鋸齒形,有皮芯結構
滌綸

縱向:平滑,有黑點 橫向:圓形
錦綸
-
縱向:平滑,有黑點 橫向:圓形
化學溶解法:利用不同的纖維在不同的溶劑中的溶解性不同,是一種較常用的方法,還可定量測定。適用各種紡織材料,包括已染色的、混合成分的纖維、紗線、織物。
常見纖維溶解性能表
纖維名稱 | 鹽酸20% 24℃ | 鹽酸37% 24℃ | 硫酸75% 24℃ | 氫氧化鈉5%煮沸 | 甲酸 85% 24℃ | 冰醋酸24℃ | 間甲酚 24℃ | 二甲基甲酰氨 24℃ | 二甲苯24℃ |
滌綸 | I | I | I | I | I | I | S 93°C | I | I |
錦綸 | S | S | S | I | S | I | S | I | I |
腈綸 | I | I | SS | I | I | I | I | S 93°C | I |
維綸 | S | S | S | I | S | I | S | I | I |
丙綸 | I | I | I | I | I | I | I | I | S |
氨綸 | I | I | P | I | I | P | I | S 93°C | I |
表中 S——溶解; SS——微溶; P——部分溶解; I——不溶解。
纖維鑑別總結:
在實際鑑別中,有些樣品使用單一方法較難鑑別,需將幾種方法綜合運用,系統的加以分析,才能準確地鑑別纖維。具體如下:
首先,可將未知試樣纖維稍加整理,如果不屬彈性纖維,可以採用燃燒試驗法將纖維初步分成纖維素纖維、蛋白質纖維和合成纖維三大類;
纖維素纖維和蛋白纖維都有各自不同的縱向和橫向形態特徵,通過顯微鏡法即可鑑別;合成纖維一般根據纖維溶解性能表採用化學溶解法,即根據不同化學試劑在不同溫度下的溶解特性來鑑別。對聚丙烯、聚氯乙烯、聚偏氯乙烯還可利用氯檢測法和溶點法驗證等。
Does the article solve your problem